Naso chiuso persistente: quando è il momento di rivolgersi all’otorinolaringoiatra
- Andrea D'Alessandro
- 6 giorni fa
- Tempo di lettura: 3 min
Introduzione
Il naso chiuso è uno dei disturbi più comuni nella popolazione adulta e pediatrica. Nella maggior parte dei casi è legato a raffreddori o allergie stagionali, ma quando il sintomo persiste nel tempo può essere il segnale di una condizione che richiede una valutazione specialistica.
Respirare bene attraverso il naso è fondamentale non solo per il comfort quotidiano, ma anche per la qualità del sonno, la concentrazione e la salute delle vie respiratorie.
Quando il naso chiuso diventa un problema
Un naso chiuso occasionale non è motivo di preoccupazione. Tuttavia, è consigliabile rivolgersi a uno specialista quando:
il naso chiuso dura più di 2–3 settimane
è presente anche in assenza di raffreddore
si associa a riduzione dell’olfatto
provoca respirazione orale persistente
disturba il sonno
causa russamento o stanchezza mattutina
Questi sintomi possono indicare una causa strutturale o infiammatoria che richiede una diagnosi precisa.
Le cause più comuni di naso chiuso persistente
Le cause possono essere diverse e spesso coesistono tra loro.

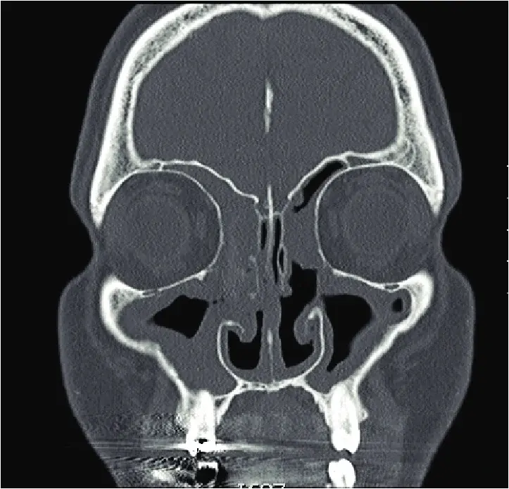
Deviazione del setto nasale
Il setto nasale è la struttura che divide le due cavità nasali. Quando è deviato, può ostacolare il passaggio dell’aria e causare:
respirazione difficoltosa
sensazione di ostruzione monolaterale
sinusiti ricorrenti
mal di testa
In alcuni casi, la deviazione è presente fin dalla nascita; in altri può essere conseguenza di traumi nasali.
Ipertrofia dei turbinati
I turbinati sono strutture presenti all’interno del naso che regolano il flusso d’aria. Possono aumentare di volume a causa di:
allergie
infiammazione cronica
rinite vasomotoria
Questo determina una riduzione dello spazio respiratorio.
Rinite allergica
È una delle cause più frequenti di ostruzione nasale persistente.
Sintomi tipici:
starnuti frequenti
prurito nasale
secrezione acquosa
naso chiuso alternante
Una corretta diagnosi permette di impostare terapie mirate.
Polipi nasali
I polipi sono formazioni benigne che crescono all’interno delle cavità nasali e dei seni paranasali.
Possono causare:
naso chiuso persistente
perdita dell’olfatto
secrezioni nasali
sinusiti ricorrenti
In alcuni casi possono essere associati ad asma o allergie.

Sinusite cronica
La sinusite cronica è un’infiammazione persistente dei seni paranasali.
Può manifestarsi con:
naso chiuso continuo
secrezioni dense
dolore facciale
senso di pressione alla testa
Una valutazione specialistica permette di identificare la causa e stabilire il trattamento più appropriato.
Come si svolge la visita otorinolaringoiatrica
La visita ORL è generalmente rapida e ben tollerata.
Durante la valutazione possono essere eseguiti:
esame clinico del naso
endoscopia nasale con strumento sottile e flessibile
valutazione dei seni paranasali
analisi della respirazione nasale
L’endoscopia nasale consente una visione dettagliata delle cavità nasali e permette una diagnosi precisa.

Quali trattamenti sono disponibili
Il trattamento dipende dalla causa identificata.
Può includere:
Terapie mediche
spray nasali cortisonici
lavaggi nasali
terapia antiallergica
farmaci antinfiammatori
Queste terapie sono spesso efficaci nelle fasi iniziali.
Trattamenti chirurgici
Quando la terapia medica non è sufficiente, può essere indicato un trattamento chirurgico.
Tra i più comuni:
settoplastica
riduzione dei turbinati
chirurgia endoscopica dei seni paranasali
rimozione dei polipi nasali
Le tecniche moderne consentono interventi sempre più mirati e con tempi di recupero ridotti.
Perché non ignorare il naso chiuso persistente
Molte persone si abituano a respirare male senza cercare una soluzione. Tuttavia, una respirazione nasale inefficace può avere conseguenze nel tempo:
disturbi del sonno
stanchezza cronica
riduzione dell’olfatto
infezioni respiratorie ricorrenti
peggioramento della qualità di vita
Una diagnosi precoce permette spesso trattamenti più semplici ed efficaci.
Conclusione
Il naso chiuso persistente non deve essere sottovalutato, soprattutto quando dura nel tempo o interferisce con le normali attività quotidiane. Una valutazione specialistica permette di individuare la causa e impostare un trattamento adeguato, migliorando significativamente la qualità della respirazione e del sonno.



Commenti